
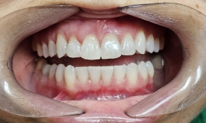
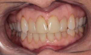
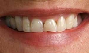
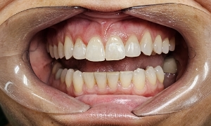
Over the years, our team is proud to have transformed many patients’ smiles for the better, both in regards to their health and their sense of self-confidence. You’re welcome to take a look at these cases below in our gallery and see just how significant the improvements are when you compare the “before” and “after” images. You may even find a photo that looks just like the results you’re hoping to accomplish at your visit here in Bartlesville, OK! Contact Dentistry by Design today to schedule a consultation.